Prostodontia
Melhorar a estética do seu sorriso
Adaptadas a cada paciente


Aplicadas em ambos os maxilares
Procedimento
Fabricadas em cerâmica pura
As facetas dentárias são fabricadas pelo laboratório de prótese dentária pelos nossos ceramistas. Elas são adaptadas com toda a precisão à estrutura de cada dente e aderidas num processo clínico rigoroso e indolor. A cerâmica que as constitui é de alta resistência e estética apesar de serem peças de espessura muito fina (geralmente entre 1 a 1,5mm de espessura).



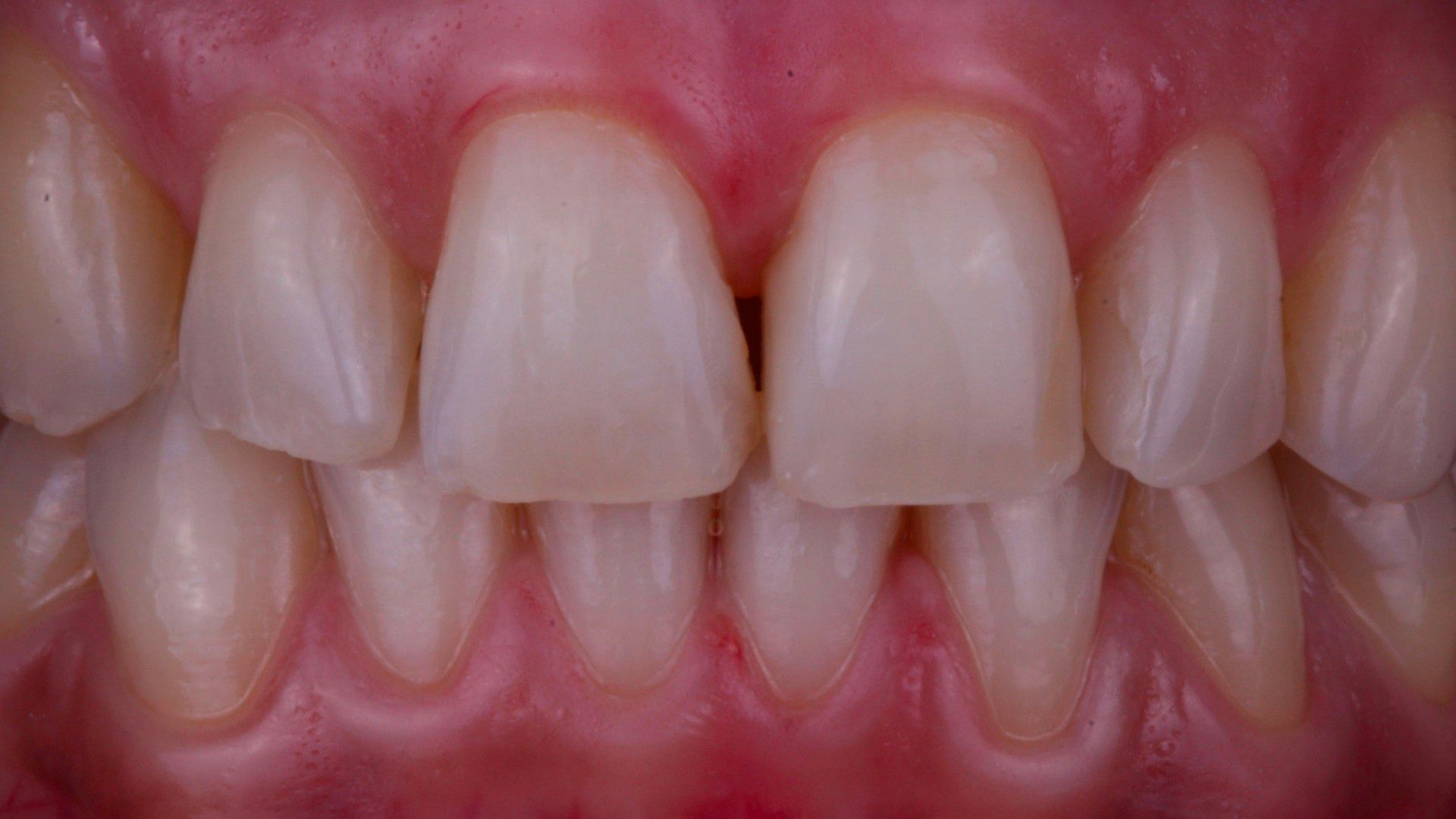
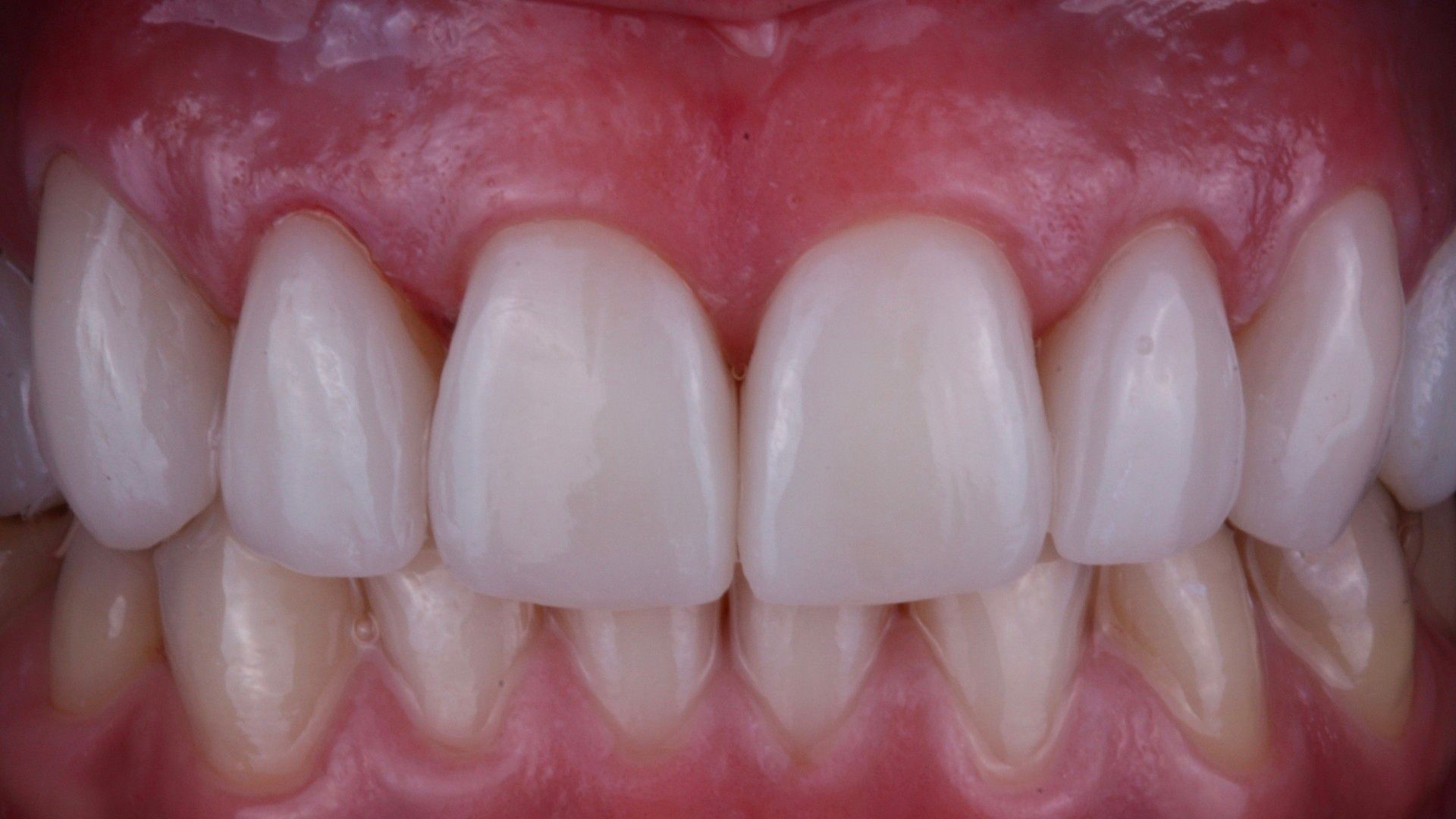
Caso Clínico 1
Esta paciente de 45 anos apresentava um sorriso que considerava inestético, fruto das alterações de cor e desgastes dos dentes. Neste caso, a paciente aceitou um tratamento por fases, em que primeiro se colocaram facetas no maxilar superior para, posteriormente, numa segunda fase, se efectuar um branqueamento externo do dentes do maxilar inferior.
Entre em contacto connosco!

Avenida da Liberdade 220, 1º andar
1250-147 Lisboa Portugal
